Retreiving your content, one moment please...
公司
支持
物流
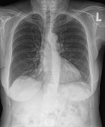
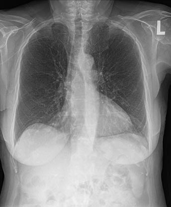
骨抑制利用人工智能创建伴随影像并抑制骨骼的出现,以增强软组织的可视化,同时不需要患者进行额外的暴露。这有助于提高病理学评估的临床信心。