Retreiving your content, one moment please...
公司
支持
物流
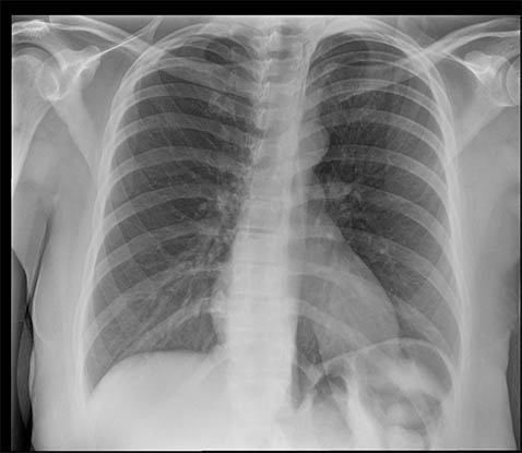
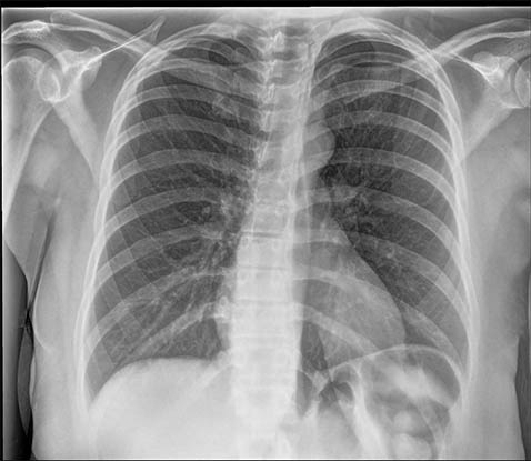
SmartGrid 处理的影像质量与使用防散射滤线栅采集的影像相当,但床边胸部影像方面患者剂量会减少。它会抑制散射的作用,从而改善解剖结构对比度。在不使用防散射滤线栅的情况下,滤线栅状影像质量的好处是加快工作流程并方便放射科技师成像。