Retreiving your content, one moment please...
公司
支持
物流
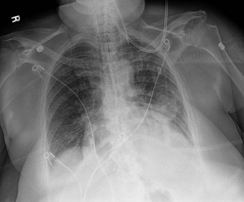
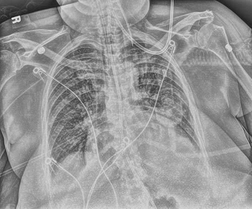
确保一次曝光。球管和插管增强创建相配影像,并采用优化的处理,以便更清晰、更轻松地可视化外周穿刺中心静脉插管和球管。它增强了正确置放球管和插管并保持在原位的信心。