数字合成体层成像

数字合成体层成像采集在 X 光管、患者和探测器的不同取向上的多个投影影像,然后将这些投影影像重建成一系列层面。其重叠结构的分离与标准 CT 检查相似,但所需的剂量要低得多。与传统 X 射线摄影相比,数字合成体层成像提供的深度位置更准确,同时通过去除覆盖和底层解剖结构改善了局部结构的观察对比度。

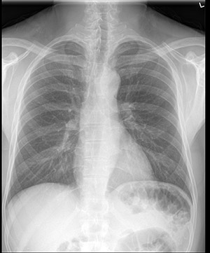
标准胸部 X 光检查

			标准胸部 X 光检查
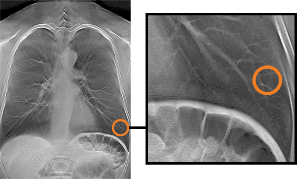
显示病理的 DT 影像层面/显示病理的多个层面
显示病理的 DT 影像层面/显示病理的多个层面